作为心血管内科介入医生多少都听说过这样一句话,叫做:天不怕,地不怕,就怕血管有钙化。钙化,就是我们通俗理解的“石头”。如果血管里面长“石头”,那对于手术医生来说可能病变处理起来会变得非常棘手。因为这些“石头”可能导致放置的支架扩张不全、压扁甚至发生移位,从而导致手术效果大受影响;更有甚者,可能直接导致支架、球囊、导丝等无法通过而使得手术无法顺利进行。
病例回顾
1月前,患者胡奶奶因急性下壁心肌梗死在888集团官网址心血管内科做了急诊手术,术中造影提示右冠急性闭塞,同时前降支存在严重狭窄病变,当时在右冠状动脉成功植入支架。
患者此次为处理前降支病变入院,在完善术前相关检查和评估后。1月18日胡奶奶被送入导管室进行了冠脉造影。检查提示左侧前降支血管为弥漫性长病变,最狭窄的地方接近90%,且在造影剂不填充的情况下就可以明显地看到血管里的“石头”,钙化十分严重(图1)。

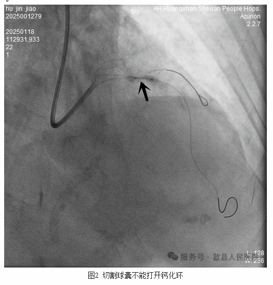
俞志雄副主任医师团队成员方勇医师快速将导丝通过病变,但和他预料的一样,2.5mm的非顺应性球囊无法通过,当机立断便采用延长导管辅助下艰难的将2.5mm非顺应性球囊通过病变,但20个大气压仍然不能将病变充分扩开,随后改变策略,使用2.5mm切割球囊常规10个大气压仍然不能将病变处的钙化环打开(图2)。

于是手术团队立即在延长导管辅助下成功植入1枚2.5*36mm的支架。但术后造影可见支架部分扩张不完全。虽多次尝试支架内球囊后扩张,钙化环却像“紧箍咒”一样牢牢地勒住支架(图3)。

支架不能完全扩张,短期内可导致急性支架内血栓。远期则导致支架内再狭窄,不利于患者预后。心血管内科主任、俞志雄副主任医师想到目前最有效的处理策略便是使用冲击波球囊打开钙化环。
团队成员方勇副主任医师经与家属沟通,决定采用冲击波球囊打开钙化环,解除套在支架上的“紧箍咒”。
1月24日下午,手术按预定计划顺利进行。团队成员术中仔细操作,顺利将2.5mm冲击波球囊送至支架未完全扩开的部分,经过5个周期的脉冲处理,顺利将钙化环打裂,随后用3.0*9mm的后扩球囊将支架完全扩开(图4)

手术持续1小时后顺利结束,术后胡奶奶安全返回病房,已于近日康复出院。
冲击波球囊
冲击波或者震波球囊导管工作原理是利用冲击波能量设备发出电能,通过冲击波导管内的脉冲电极发生器使得球囊内电解质溶液气化,然后使得导管像“隔山打牛”一样在钙化斑块处释放脉冲波,在几乎不影响正常血管组织的情况下冲击震裂钙化斑块,这种冲击波可以使浅层和深层的钙化病变断裂或者被打“松软”,从而使“硬化”的“老”血管恢复到“年轻”时候,变得“柔软和弹性”,有利于后续冠脉支架的植入。更值得称道的是该项技术非常安全和简便,因为冲击波能量只对硬的钙化病变有作用,而对于血管壁的正常结构无损伤,可以保持血管壁的完整结构。

888集团官网址心血管内科始终以提升诊疗水平为目标,不断加强学科建设,致力于打造一支技术精、服务优、质量高的专业医疗团队,积极开展新技术、新业务,全力以赴护佑百姓健康。科室现有主任医师1名,副主任医师5名,主治医师4名,主管护师5名。对冠状动脉造影术、经皮冠状动脉腔内成形术、心律失常射频消融治疗和永久起搏器植入术治疗具有丰富经验。
PART
咨询电话
888集团官网址心血管内科
医生办公室:0559-6530317
护士站:0559-6530321
来源:心血管内科 方勇
责编:方进 二审:吴崇娟 三审:周庆海